Răng sứ thẩm mỹ là phương pháp hiện nay đang được rất nhiều người lựa chọn. Đây được xem là cách để chúng ta có được một hàm răng đẹp, trắng mà không mất quá nhiều thời gian cũng như chi phí thực hiện
1. Dán sứ veneer là gì?
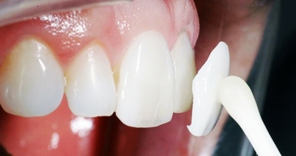
Được ví như lớp mặt nạ hoàn hảo cho hàm răng, răng sứ thủy tinh veneer là giải pháp phục hồi răng xấu, sứt mẻ, gãy,...để răng trở nên khỏe hơn, bền chắc mà không xâm lấn quá nhiều vào răng thật. Với sự phát triển của công nghệ hiện đại, răng sứ thẩm mỹ ngày càng mỏng hơn và tự nhiên hơn
Mặt răng dùng để dán sứ veneer được cấu tạo từ các lớp sứ mỏng được ép và nung ở nhiệt độ cao nhiều lần với độ dày của mặt sứ sau khi hoàn thiện là 0.1mm - 0.3mm. Khi làm răng sứ thẩm mỹ, bác sĩ sẽ dán lên bề mặt ngoài và mặt nhai của răng giúp cải thiện tính thẩm mỹ, mang lại hàm răng trắng sáng và nụ cười hoàn hảo.

2. Kỹ thuật dán sứ veneer
Tuy được xem là cách phục hình răng nhanh chóng và đơn giản, nhưng phương pháp làm răng sứ thủy tinh này yêu cầu sự tỉ mỉ, chính xác và trình độ chuyên môn cao của các bác sĩ nha khoa.
Tại Nha khoa Hà Nội - Thái Nguyên, chúng tôi mời về những bác sĩ nha khoa có nhiều năm kinh nghiệm, cũng như chuyên môn giỏi trực tiếp thực hiện dán sứ veneer siêu mỏng cho khách hàng. Nên bạn có thể yên tâm khi lựa chọn phòng khám của chúng tôi.

3. Quá trình làm răng sứ thẩm mỹ
Dán sứ veneer được các bác sĩ tại Nha khoa Hà Nội - Thái Nguyên thực hiện theo các bước như sau:
- Bước 1: Thăm khám và tư vấn thiết kế răng sứ thủy tinh
- Bước 2: Vệ sinh răng miệng, điều trị bệnh lý (nếu có)
- Bước 3: Làm nhám răng và bôi thuốc bảo vệ ngà răng
- Bước 4: Lấy mẫu bằng khay và máy scan 3D
- Bước 5: Chế tác miếng dán sứ veneer
- Bước 6: Thực hiện làm răng sứ thẩm mỹ veneer và hẹn lịch tái khám
Theo như quy trình thực hiện này của Nha khoa Hà Nội - Thái Nguyên, bạn sẽ chỉ mất 2 - 3 ngày để có được một hàm răng mới chắc khỏe hơn và có tính thẩm mỹ cao hơn.

Nếu bạn đang có nhu cầu muốn có một nụ cười tự tin hơn, không còn e dè trong giao tiếp hãy tham khảo phương pháp làm răng sứ thẩm mỹ này của Nha khoa Hà Nội - Thái Nguyên, chúng tôi tin rằng bạn sẽ có một diện mạo mới đẹp hơn, và thiện cảm hơn trong mắt người đối diện sau khi dán sứ veneer. Với bất cứ thắc mắc nào, quý khách hàng hãy liên hệ tới Hotline: 0919.471.245 để được tư vấn và hỗ trợ nhé.