Nha khoa Hà Nội - Thái Nguyên cung cấp dịch vụ chữa sâu răng, mòn cổ răng bằng cách hàn. Đây là phương pháp được nhiều người lựa chọn để có một hàm răng chắc khỏe hơn, khắc phục được tình trạng đau nhức do sâu răng và mòn cổ răng gây ra. Cùng tham khảo dịch vụ này của chúng tôi nhé
1. Sâu răng là gì?
Sâu răng là sự phá hủy các mô cứng của răng bao gồm: men răng, ngà răng và tủy răng. Nguyên nhân gây sâu răng là do vi khuẩn Streptococcus Mutans, Lactobacillus gặp môi trường thuận lợi (thức ăn chứa đường, giàu tinh bột) phát triển, tạo ra axit phá hủy các mô răng.
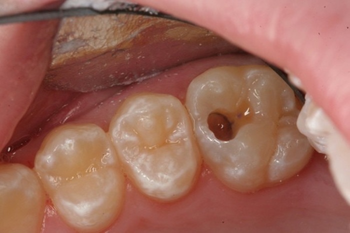
Triệu chứng khi sâu răng: ban đầu xuất hiện các đốm trắng, tạo thành lỗ bám thức ăn, về sau xuất hiện các lỗ đen ngày càng phát triển rộng hơn, gây ra các cơn đau buốt, khó chịu, nhất là khi ăn phải thực phẩm quá nóng hoặc quá lạnh.
Quá trình sâu răng từ lúc xuất hiện các đốm răng đến khi hình thành lỗ sâu phải trải qua thời gian, nhanh hay chậm còn phụ thuộc vào chế độ vệ sinh răng miệng của từng người. Nhìn chung răng sâu không thể tự phục hồi, phải chữa trị ngay

2. Dấu hiệu đã đến lúc cần chữa sâu răng
Sâu răng là sự tiêu hủy cấu trúc vôi hóa vô cơ của men răng và ngà răng tạo nên lỗ sâu trên bề mặt răng, do vi khuẩn gây ra.
Dấu hiệu cảnh báo đã đến lúc bạn cần chữa sâu răng:
Triệu chứng ban đầu là răng đổi màu, lúc này người bệnh chưa cảm thấy gì, lỗ sâu răng chưa có và kích thích do thức ăn nóng, lạnh chưa xảy ra. Một thời gian sau, răng biến đổi sang màu nâu hoặc đen. Lỗ sâu ở răng xuất hiện, người bệnh cảm thấy khó chịu khi thức ăn giắt vào lỗ sâu, cảm thấy buốt khi ăn nóng, lạnh, đau khi có thức ăn nóng giắt vào.
Khi bị sâu răng, hơi thở của người bệnh có mùi hôi. Nếu để bệnh tiếp tục tiến triển thì sau răng sẽ ăn tận vào buồng tủy răng, gây ra viêm tủy răng, đến lúc này người bệnh sẽ cảm thấy rất đau.

3. Dấu hiệu của mòn cổ răng
Mòn cổ răng hay còn gọi là tiêu thân răng là một rãnh sâu, lõm vào hình chữ V ở mặt ngoài răng ở sát viền lợi, hay gặp ở các răng hàm nhỏ (răng số 4 và 5), răng số 6 và các răng cửa.
Dấu hiệu của mòn răng: Ban đầu dấu hiệu của mòn cổ răng chỉ là một rãnh nhỏ dưới gần chân răng khiến bệnh nhân không để ý. Dần dần rãnh mòn phát triển, gây đau nhức, ê buốt chân răng khi ăn các thức ăn nóng lạnh hoặc chua, khi đánh răng súc miệng, trong trường hợp nặng có thể mòn vào đến tủy gây đau nhức và gãy ngang thân.
4. Cách khắc phục tình trạng sâu răng và mòn chân răng
Chữa răng sâu :
Ở giai đoạn sớm khi chưa có lỗ sâu: vệ sinh răng miệng đúng cách, hạn chế các thức ăn đồ uống có lượng đường cao;
Sử dụng dung dịch keo Flour ở chỗ sâu răng. Phương pháp này có tác dụng nhanh và hiệu quả trong việc ngăn chặn sâu răng và phục hồi cấu trúc răng trở lại bình thường. Nhưng cách này tuyệt đối chỉ được thực hiện bởi nha sĩ để tránh ngộ độc Fluor, nhất là ở trẻ em.
Ở giai đoạn muộn: cách điều trị là hàn răng sâu bằng các vật liệu hàn răng phổ biến như GIC, composite,....

Khắc phục mòn cổ răng:
- Mòn cổ răng nhẹ: Hàn răng hàm bị sâu phục hồi cổ răng nhằm bù chất liệu nhân tạo vào vùng răng bị khuyết tránh xảy ra tình trạng lộ ngà hạn chế hiện tượng tiêu chân răng.
- Mòn cổ răng nặng : Trường hợp này bác sĩ sẽ chỉ định bọc răng sứ nhằm giữ chân răng không bị tiêu và tạo lực nhai ổn định.
Chữa sâu răng hay khắc phục mòn cổ răng là những cách được sử dụng phổ biến hiện nay cho nhiều người bệnh, bạn hoàn toàn có thể tham khảo dịch vụ hàn răng sâu của Nha khoa Hà Nội - Thái Nguyên để được chúng tôi tư vấn và hỗ trợ. Đau răng và các bệnh về răng miệng mang tới cho mọi người cảm giác khó chịu, vì thế nếu càng điều trị sớm thì sẽ càng tốt.
Ngoài ra, đối với dịch vụ hàn răng của chúng tôi, bạn sẽ nhận được ngay ưu đãi khi hàn hàm 5 răng tặng 1 răng. Nếu bạn đang có nhu cầu hàn răng, đừng bỏ qua dịch vụ của Nha khoa Hà Nội - Thái Nguyên