Cười hở lợi còn gọi là cười lộ nướu là một tình trạng hở lợi quá mức lúc cười, dẫn tới tình trạng mất thẩm mỹ. Về mặt nhân tướng học, thẩm mỹ học hay những quan niệm nhân gian, cười hở lợi là một khuyết điểm lớn của nụ cười và tưởng số.

Phân loại mức độ cười hở lợi.
Một nụ cười được đánh giá là BÌNH THƯỜNG KHÔNG HỞ LỢI nếu khi cười tối đa không hở lợi hoặc mức độ lộ lợi không quá 2mm.
Dựa vào mức độ lộ lợi khi cười, cười hở lợi được chia thành 4 mức độ khác nhau:
- Cười hở lợi nhẹ: Biểu hiện của trường hợp này là khi cười, mô nướu lộ nhiều hơn 3mm và ít hơn 25% chiều dài của răng.
- Cười hở lợi trung bình: Biểu hiện của trường hợp này là khi cười, mô nướu lộ nhiều hơn 25% và ít hơn 50% chiều dài của răng.
- Cười hở lợi nặng: Biểu hiện của trường hợp này là khi cười, mô nướu lộ nhiều hơn 50% và ít hơn 100% chiều dài của răng.
- Cười hở lợi rất nặng: Biểu hiện của trường hợp này là khi cười, mô nướu lộ nhiều hơn 100% chiều dài của răng.
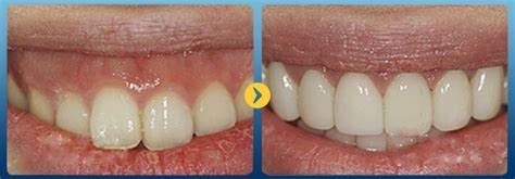
Phẫu thuật cắt lợi là phương pháp điều trị cười hở lợi đơn giản nhất, phương pháp này áp dụng cho những trường hợp thân răng ngắn. Phẫu thuật cắt lợi có thể chỉ cần cắt lợi đơn thuần, hoặc phối hợp cắt lợi và điều chỉnh xương ổ răng để di dời khoảng sinh học.

Cắt lợi làm dài răng thực chất là một tiểu phẫu khá nhỏ, không quá phức tạp nên sẽ không gây đau nhiều cũng như không lo biến chứng. Quá trình thực hiện nhanh chóng, an toàn, kết hợp gây tê nên người bệnh không phải lo lắng quá nhiều.

Khi thực hiện kỹ thuật này, bác sĩ sẽ tiến hành rạch đường mổ bên trong khoang miệng, lật vạt bộc lộ chân răng và xương xung quanh, sau đó cắt loại bỏ phần lợi theo tỉ lệ được tính toán trước, điều chỉnh sao cho thân răng lộ ra ngoài nhiều người, sau đó làm sạch vị trí phẫu thuật và khâu lại cẩn thận.

Hiện phẫu thuật cắt lợi được đánh giá rất cao bởi nhanh chóng mang lại những ưu điểm sau:
- Khắc phục nhanh khuyết điểm hở lợi, mang lại nụ cười duyên dáng và thu hút hơn.
- An toàn, sau khi thực hiện không làm ảnh hưởng gì đến chân răng, việc ăn uống hay sinh hoạt bình thường.
- Thời gian tiến hành nhanh chóng
- Không để lại sẹo
- Kết quả thẩm mỹ được duy trì trọn đời.